内容详情
急诊动脉内取栓术——迅速打开病人生命通道

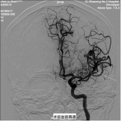
急诊动脉内取栓术——迅速打开病人生命通道的相关图片
脑血管疾病目前已成为我国居民的首位死亡原因,同时具有很高的致残率,给社会和家庭带来沉重的负担。脑血管病患者80%左右为脑梗死患者,而死亡率、残疾率高的往往是大血管病变所导致的脑梗塞。大血管病变的脑梗塞,传统的静脉溶栓往往效果甚微,对于时间就是生命的脑梗塞患者在时间窗内尽早开通闭塞血管,对患者的愈后至关重要。目前国际上治疗大血管病变所致的脑梗死的最先进方法就是静脉溶栓联合动脉取栓或动脉溶栓、碎栓等方法开通闭塞血管。
4月17日,我院成功为一位发病1小时到院的急性大血管脑梗死患者联合应用静脉溶栓、动脉内支架取栓、动脉溶栓等多种方法,在发病后3小时19分时开通血管。
该患者4月17日早晨7:30于骑车时突发右侧肢体完全不能活动,跌倒在地,伴言语表达、理解不能,意识模糊。经急诊静脉溶栓、动脉内支架取栓、动脉溶栓、后续康复治疗后,患者已能独立行走,语言理解正常,能部分语言表达。
急诊动脉内取栓手术是一项尖端的介入微创治疗,对医疗设备和医师技术要求甚高,受各种因素限制,目前国内能开展血管内介入取栓、碎栓的医院并不多。此项技术的成功开展,标志着我院神经内科脑梗死急性期治疗已达到国内先进水平。
这次能成功抢救病人,除了病人发病后及时来我院就诊外与我院各部门的迅速响应密不可分。首先,在院领导的大力支持和协调下搭建了关乎生命的绿色通道,而兄弟科室科(如急诊、放射、检验、DSA室)同仁的高度重视和大力支持使得这条生命通道畅通高效;其次,神经内科在科主任的领导下,组建了快速、高效、技术过硬的介入治疗团队;然而更重要的是绍兴第二医院为守护生命、立足本职的无私奉献精神,相信在以后的工作中,这样的成功还会一次一次的上演。
(神经内科)